初診の方へ

初診ご来院時からの流れ

STEP 1

電話でのご予約

まずはお気軽にご連絡ください
来院時にお薬手帳をお持ちの方は持って来てください。

STEP 2

検査

口腔内写真・レントゲン検査・歯周組織検査
各々の検査をさせていただき資料を作成します。

STEP 3

結果・カウンセリング

検査結果を踏まえて治療が必要な部分の説明をいたします

STEP 4

治療

患者様に合わせた虫歯や歯周病の治療をします。
症状の程度によって治療の回数・時間が異なります。

STEP 5

定期検診

3~6ヶ月ごとにプロフェッショナルクリーニングを行います。
その都度検査を行い状態をチェックして治療計画の進捗を見ます。

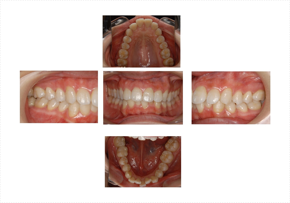
検査について

口腔内写真

歯や歯茎の色など今の状態を記録します。

検査について

レントゲン検査

歯や歯を支えるあごの骨の状態を調べます。
肉眼でみる情報とは別に確認しにくいムシ歯や歯周病の状態を判断できます。

レントゲン検査
レントゲン検査

CT撮影

特に難易度の高い抜歯などに使用し安全性、確実性を高め治療の手助けとなります。※CTスキャンは必要がある場合に行います。

歯周組織検査

歯と歯茎の境にあるポケットと呼ばれる溝の深さや出血・膿の有無などや今日までどのくらい歯周病が進行しているかを調べます。

定期メンテナンス

定期メンテナンス

治療が終わりましたら3~6ヶ月ごとの定期メンテナンスに移行します。
歯周病は一度改善してもすぐに戻ります。
さらに、お口の中には虫歯や歯周病の菌が存在していますので、いつ虫歯や歯周病を起こすか分かりません。
こうしたリスクを最小限に抑えるためにも、定期的なメンテナンスが必要です。

専門技術を持つ衛生士によるクリーニングを行います。